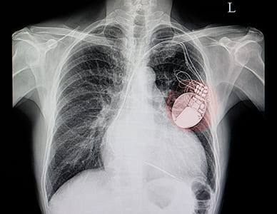
El marcapasos es un pequeño dispositivo operado por pilas que detecta latidos irregulares del corazón y envía señales para mantener un ritmo cardíaco adecuado.
El marcapasos se implanta bajo la piel en un procedimiento que generalmente dura alrededor de una hora. El cardiólogo en Querétaro le administrará un sedante para ayudarlo a relajarse, aunque usted estará despierto durante el procedimiento.

Haz clic en el botón “Contactar ahora” para obtener más información sobre nuestro consultorio en Clínica Médica San Juan